PRODUCT商品情報
大型機器
小型機器
診療用器具
診療用品/材料
ネクストビジョン プラス
NEW
デモ
申込み
Dr.もDHも使いやすい新機能を追加し、さらに 充実した診療とコミュニケーションをサポート
最高倍率80倍・4K高画質をモニターにリアルタイムに映し出すことで、高精細な診療をサポートするネクストビジョン。
Dr.もDHも、医院のスタッフ全員で使いやすい3つの新機能を追加してさらに充実した診療と、院内コミュニケーションをサポートします。
ネクストビジョン特設サイト

ユーザー様にお使いいただける院内ポスターもございます!
ネクストビジョンユーザー様に、ご使用いただける院内掲示用ポスターをご用意しています。
▶ポスターダウンロードページはこちら
▶ポスター7種類セットはこちらからダウンロード

精密でゆとりある診療に

350-600mmのワーキングディスタンス
3軸アームの採用により、カメラの簡単な位置づけと操作が可能です。ロングディスタンスで、術者の体格差に左右されず、十分な作業スペースが確保できます。無理な体勢で覗き込むことなく、自然な 姿勢で処置が行えるため身体的疲労も軽減します。

4K高画質・高精細・最高倍率80倍
最高倍率80倍までシームレスに拡大できます。4Kモニターによる高画質・高精細な映像で、感覚に頼らない確かな治療を実現します。拡大鏡の併用も可能なため、診療スタイルを問わず、導入したその日からご使用できます。

広範囲にピントが合う深い被写界深度
ピントの合う範囲が広いため、幅広い診療に活用できます。術中にピントを調整する手間が少なく、特に外科処置など広い範囲の処置に最適です。ライトは10段階で調整でき独自の光学設計により、深部までも明瞭に観察できます。
Dr.もDHも ワンランク上の診療を

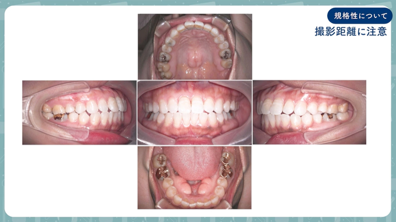
規格撮影に便利な距離合わせモード
あらかじめワーキングディスタンスの距離を、任意に固定することができます。撮影日や術者が変わっても、規格性のある口腔内写真を撮影することが可能です。術前・術後を正確に比較できます。

観察しやすいブルーライトモード
レジン充填部を観察しやすい映像が得られます。マウスピース矯正のアタッチメント装着時の余剰レジン除去では、オーバートリートメントや取り残しの防止をサポートします。

一瞬で切り替える上下・左右反転機能
映像をワンタッチで上下・左右に反転させることが可能です。術者だけでなく、患者さんに伝わりやすい向きの映像で、的確な治療説明ができます。反転した状態で撮影・記録することも可能です。
患者さんも、スタッフも 充実したコミュニケーションを
.jpg?w=1200&h=529&t=r&q=90)
ワイド撮影モード(×3)
倍率を3倍に設定するワイド撮影モードで、患者さんの顔貌やスマイルラインが撮影できるため、より多角的な資料を記録できます。また、手技の俯瞰撮影にも対応します。

連携力のあるチーム診療を
モニターを通じて術部を共有できるため、Dr.の意図を瞬時に判断して診療アシストができます。また、オペなどの複数名のアシスタントが必要な場面でも、連携したチーム診療が行えます。

「見せる」ことが信頼・満足度へ
高画質の拡大映像で患者説明を行うことで、関心度・満足度が向上します。またスタッフ教育でも、口腔内を覗き込むことなく、モニター越しの拡大映像で学ぶことで、理解度が高まります。
ネクストビジョンユーザー様へ
医院でお使いいただいているネクストビジョンを、3つの新機能を追加した「ネクストビジョン プラス」へのアップグレードも承っています。
▶ご希望・詳細「お問合せ」はこちら
対応ユニット ラインナップ

AR設置シミュレーション
お手持ちのスマートフォンで、ネクストビジョンの設置イメージを確認できます。
▶フロアスタンド型 設置シミュレーションはこちら(スマートフォン用ARサイトへ移動します)
▶ユニットマウント型 設置シミュレーションはこちら(スマートフォン用ARサイトへ移動します)


撮影データの記録・活用
動画・静止画の撮影
付属ソフト『マルチキャプチャー』を使用することで動画や静止画を録画することができます。

患者データの一元管理
ネクストビジョンで撮影した画像や動画は、一元管理システム「action GATE SYSTEM(アクションゲートシステム)」と連携し、患者さんごとにまとめて表示が可能です。様々なソフトを開くことなく一画面で完結するので、診療業務全体の効率化が可能です。

院長も・勤務医も・DHも!医院のスタッフ全員で、ご活用いただけます
ネクストビジョンは、術者ごとに視度などの調整をする必要がないため、院長・勤務医・DH、スタッフ全員でご活用いただくことができます。カメラのポジショニングや、口腔内写真の撮影方法について、ご使用イメージを動画でご確認いただけます。
ネクストビジョン,ネクストビジョン+,NV,Next vision,PLUS