PRODUCT商品情報

カテゴリ検索

ネクストビジョン

デモ
申込み

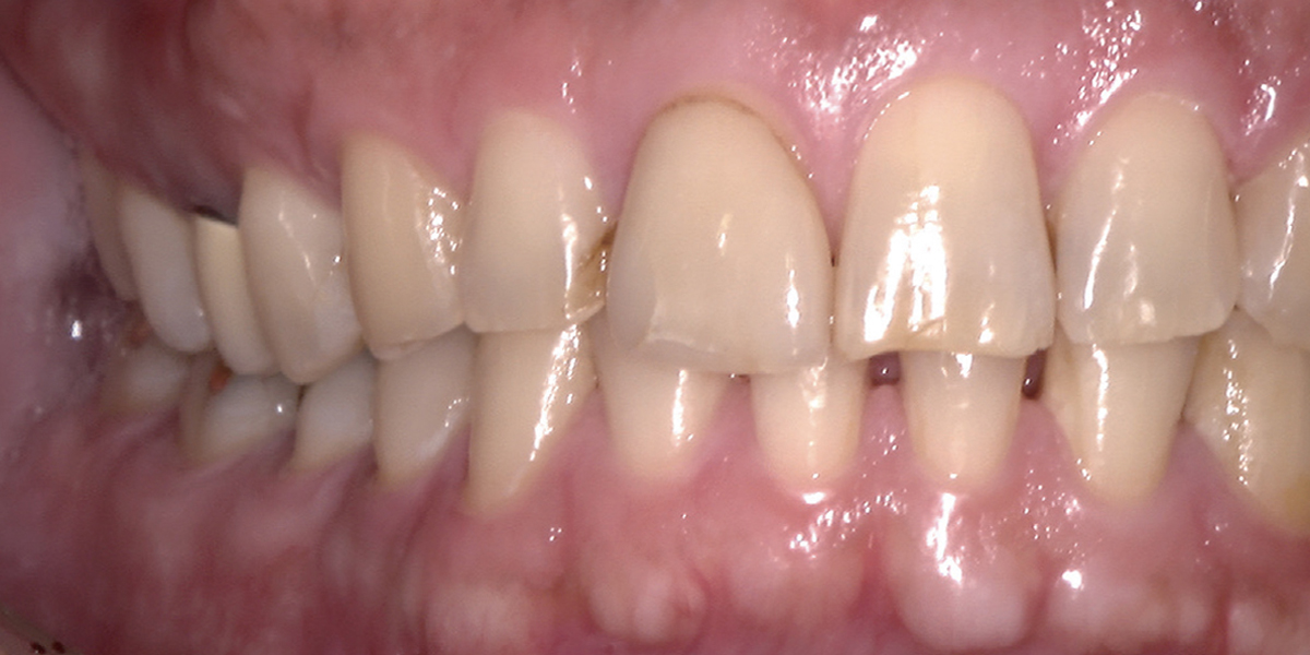
口腔内を鮮明に捉える、4K・80倍の高画質。高精細な治療と伝わるコミュニケーションを

ネクストビジョンは高画質で高倍率な画像を提供する、誰もが簡単に使える「デジタルマイクロスコープ」です。

最高倍率80倍・4K高画質映像をモニターへリアルタイムに映し出すことで、より高精細な治療をサポートします。

ネクストビジョン特設サイト

商品を詳しく知りたい方にも、ユーザー様にも!

機能や特長、活用例事例など、「ネクストビジョン特設サイト」で詳しくご覧いただけます。
▶ネクストビジョン特設サイトはこちら

ネクストビジョンポスター

ユーザー様にお使いいただける院内ポスターもございます!

ネクストビジョンユーザー様に、ご使用いただける院内掲示用ポスターをご用意しています。
▶ポスターダウンロードページはこちら
▶ポスター7種類セットはこちらからダウンロード

歯科コミュニケーションをもっとインタラクティブに

歯科コミュニケーションをもっとインタラクティブに

現代の歯科診療に求められる高い精度や安全性、さらには、スタッフや患者さんとの円滑なビジュアルコミュニケーションまで。
ネクストビジョンが新たな診療スタイルを提案します。

臨床の幅が広がる圧倒的な高画質

高精細診療をサポートする最高倍率80倍

高精細診療をサポートする最高倍率80倍

最大80倍でも鮮明さを損なわない4K高画質で、拡大診療をもっと身近に。感覚に頼らない高精度な治療をサポートします。

深部にも有効な明るさと深い被写界深度

深部にも有効な明るさと深い被写界深度

広範囲でピントが合い、幅広い診療に活用できます。新開発の光学設計により、狭い根管の深部までも明瞭に観察できます。

観察しやすくなるブルーライト機能

観察がしやすくなるブルーライト機能

ブルーライトでレジン充填部などの状態を観察しやすい映像が得られます。直視では認識しづら い余剰セメントまで把握でき、より精細な治療をサポートします。

ユーザビリティの高い直観的な操作が可能

直感的に操作できるタッチパネルとハンドルスイッチ

操作性の高いタッチパネルとハンドルスイッチ

ワンアクションでオートズームは設定した倍率に、オートフォーカスは素早くピントが合います。ハンドルスイッチは映像を見ながら片手で操作することができます。
▶操作の説明動画はこちら

300-500mmの広いワーキングディスタンス

300〜500mmの広いワーキングディスタンス

身長や座高による影響が少なく、ゆとりある診療スペースが確保できます。直視と拡大映像の両方から最適な情報が得られ、術中のストレスを軽減します。

一瞬で切り替え可能な上下・左右反転機能

一瞬で切り替え可能な上下左右の反転機能

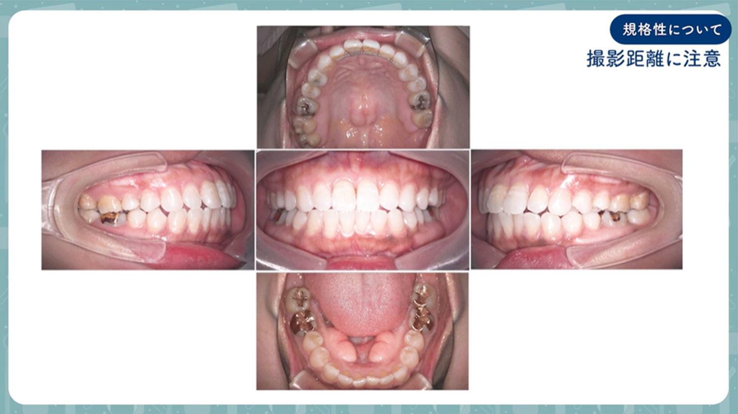
映像の上下左右をワンタッチで反転でき、術者だけでなく患者さんにも伝わりやすい向きで表示できます。5枚法や9枚法の撮影にも便利です。
▶口腔内写真の撮影方法はこちら

見える・伝わる円滑なコミュニケーション

見える・伝わる円滑なコミュニケーション

鮮明・インパクト画像で説明を

拡大しても鮮明で見やすいインパクトのある画像で説明を行えば、 患者さんの関心度・満足度が向上します。医院スタッフの教育にも活用できます。

リアルタイムでの具体的なアドバイスが実現

リアルタイムでの具体的なアドバイスが実現

治療中の歯科医師の肩越しに覗き込む必要はありません。勤務医はや歯科衛生士に研修指導することができます。

静止画・動画の記録を簡単操作で

静止画・動画の記録を簡単操作で

動画または静止画で治療の様子を記録し共有する ことで、自分自身だけでなく医院全体のスタッフの意識を高めます。

選べるラインナップ

医院の環境・ご診療スタイルにあわせて、4つのタイプからお選びいただけます。
「フロアスタンド型」「フロアマウント型」「ユニットマウント型」「天吊り型」

ネクストビジョン ユニットマウント型を搭載できるユニット機種を豊富にご用意しております。お好きなユニットでネクストビジョンを搭載いただけます。
※対応ユニットであれば、ご導入後でも追加で取り付けることが可能です。詳細はお気軽にお問合せください。
▶ユニットマウント型 対応ユニット機種はこちら

選べるラインナップ

▶ユニットマウント型 対応ユニット機種はこちら

撮影データの記録・活用

動画・静止画の撮影

付属ソフト『マルチキャプチャー』を使用することで動画や静止画を録画することができます。

動画・静止画の撮影

患者データの一元管理

ネクストビジョンで撮影した画像や動画は、一元管理システム「action GATE SYSTEM(アクションゲートシステム)」と連携し、患者さんごとにまとめて表示が可能です。様々なソフトを開くことなく一画面で完結するので、診療業務全体の効率化が可能です。

▶ネクストビジョンデータの一元管理例はこちら
▶action GATE SYSTEMの詳細はこちら

患者データの一元管理

院長も・勤務医も・DHも!医院のスタッフ全員で、ご活用いただけます

ネクストビジョンは、術者ごとに視度などの調整をする必要がないため、院長・勤務医・DH、スタッフ全員でご活用いただくことができます。カメラのポジショニングや、口腔内写真の撮影方法について、ご使用イメージを動画でご確認いただけます。

下顎大臼歯部撮影ポジション

下顎大臼歯部撮影ポジション

▶マニュアル動画はこちら

上顎大臼歯部撮影ポジション

上下顎大臼歯部撮影ポジション

▶マニュアル動画はこちら

口腔内写真5枚法撮影手順

口腔内写真5枚法撮影手順

▶マニュアル動画はこちら

ネクストビジョン,NV,Nextvision,