学術情報

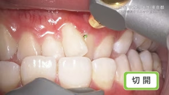
臨床例:半導体レーザーFilioを使用した先生の臨床例です。

切開

蒸散

止血・凝固

臨床例:炭酸ガスレーザーPRO-X(最大出力15W)を使用した先生の臨床例です。

切開

蒸散

止血・凝固

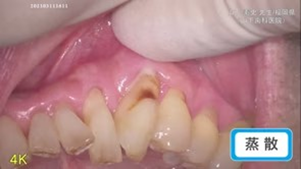
臨床例:炭酸ガスレーザーPRO+/Lite+(最大出力5~7W)を使用した先生の臨床例です。

切開

蒸散

止血・凝固

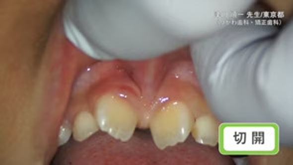
臨床例:注水型炭酸ガスレーザーNEOS(最大出力25W)を使用した先生の臨床例です。

切開

蒸散

止血・凝固

関連セミナー

※この症例は炭酸ガス・半導体レーザーをご使用いただいている先生の臨床例です。効果効能を保証するものではありません。必ず適切な診断・責任のもとでご使用ください。

※炭酸ガス・半導体レーザーの薬事承認は『切開、蒸散、凝固、止血』です。この項目以外は薬事承認外です。

※製品のご使用にあたっては取扱説明書・添付文書をご確認ください。

説明会/フォロー

chevron_right

お問い合わせ

chevron_right